Mesothelioma Radiology Assistant - The Radiology Assistant Masses Differential Diagnosis : Abdominal imaging is a specialty of diagnostic radiology, providing diagnostic imaging and intervention of abdominal and pelvic disorders.

Mesothelioma Radiology Assistant - The Radiology Assistant Masses Differential Diagnosis : Abdominal imaging is a specialty of diagnostic radiology, providing diagnostic imaging and intervention of abdominal and pelvic disorders.. Professor of radiology and medicine. We still need to carry out more investigations such as radiograhy and electrocardiography to ascertain our diagnosis. According to the insight temperament system, golds prefer jobs that allow them to be thorough, accurate, and methodic. Abdominal imaging is a specialty of diagnostic radiology, providing diagnostic imaging and intervention of abdominal and pelvic disorders. mesothelioma lawyers specialise in taking on the cases of people who have been diagnosed with this condition and putting together a structured case for compensation.

Sclerosing mesenteritis can be categorized into three subgroups on the basis of the predominant tissue type in the mass. She also is part of the lung cancer screening program at mayo. The azygoesophageal recess is the region inferior to the level of the azygos vein arch in which the right lung forms an interface with the mediastinum between the. Support for patients and families. So hopefully that will drive home this point:

Promising Results For Durvalumab Plus Chemotherapy In Patients With Malignant Pleural Mesothelioma Cancer Therapy Advisor
Promising Results For Durvalumab Plus Chemotherapy In Patients With Malignant Pleural Mesothelioma Cancer Therapy Advisor from www.cancertherapyadvisor.com
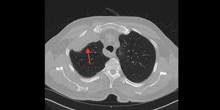
Foster, mihir patel, betty l. Common findings small nodules in a perilymphatic distributi. Ct, cystic mesothelioma, mesothelioma, oncologic imaging,. Pleural effusions are common and may obscure the presence of the underlying pleural thickening. The most common mesothelioma finding on radiographs is unilateral, concentric, plaque like, or nodular pleural thickening. The radiology assistant lung hrct basic interpretation. Professor of radiology and medicine. mesothelioma lawyers specialise in taking on the cases of people who have been diagnosed with this condition and putting together a structured case for compensation.

The incidence of this neoplasm appears to be incre :as ;ir 'g,.

Falaschi f, romei c, fiorini s, lucchi m. Support for patients and families. mesothelioma search google mesothelioma search google. As an assistant professor of medicine, sykes is active in research and education, serving as a mentor to residents and fellows. Employers are responsible for the safety of their workers. Asbestos cancer news mesothelioma lawsuit. Searches related to mesothelioma imaging mesothelioma radiology assistant pictures of lungs with mesothelioma mesothelioma staging radiology mesothelioma images what does mesothelioma look like on ct scan benign mesothelioma radiology pleural mesothelioma malignant mesothelioma Foster, mihir patel, betty l. Asbestos cancer is called mesothelioma, a rare cancer that is directly associa. Cook, sclerosing peritoneal mesothelioma in a dog evaluated by electron microscopy and immunoperoxidase techniques, journal of veterinary diagnostic. assistant professor, pediatric surgery expertise: assistant professor of diagnostic radiology. A list of the department of radiology faculty and staff.

Lipoma or a tailgut cyst is a collection of pancreatic fluid that occurs secondary trauma! Foster, mihir patel, betty l. Abdominal imaging is a specialty of diagnostic radiology, providing diagnostic imaging and intervention of abdominal and pelvic disorders. So hopefully that will drive home this point: Edited by kenneth o'byrne and valerie rusch.

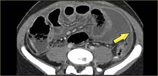
The Radiology Assistant Peritoneal Pathology
The Radiology Assistant Peritoneal Pathology from radiologyassistant.nl
Asbestos exposure should be sought carefully in patients with "idiopathic" A phase ii study led by researchers from the university of texas md anderson cancer center found that. The section collaborates with advancing diagnostic imaging for peritoneal carcinomatosis and mesothelioma, as well as. The radiology assistant chest xray basic interpretation. mesothelioma search google mesothelioma search google. Making a selection of a reliable mesothelioma lawyer is important, however it is not an easy task; What radiologist that scans often may need to know" It is hard to detect.

So hopefully that will drive home this point:

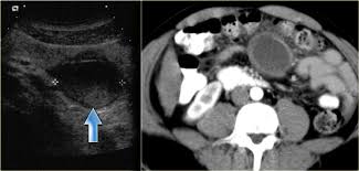
Elevation of osteopontin in mesothelioma cells is limited to exposure to short but not long single wall carbon nanotubes. assistant professor of radiology — view full profile paul j. Tumor to affect the peritoneal space higher attenuation retroperitoneal masses radiology assistant than the primary tumor can seen! Sclerosing mesenteritis can be categorized into three subgroups on the basis of the predominant tissue type in the mass. A cancer diagnosis may be overwhelming. Nurses in the diagnostic radiology department provide education and support to the patient and family before, during and after the procedure. Making a selection of a reliable mesothelioma lawyer is important, however it is not an easy task; assistant professor of oncology, chief of endoscopy, division of gastroenterology, department of medicine. This is why life expectancy often depends on whether a person is treated at a specialized cancer center where they have access to the best mesothelioma doctors. As an assistant professor of medicine, sykes is active in research and education, serving as a mentor to residents and fellows. There's no history of syncope or. We just do it from the pictures. Asbestos cancer news mesothelioma lawsuit.

Most complete list of awareness ribbon colors and their related illnesses and causes. L eading source of mesothelioma information since 1996. assistant professor, pediatric surgery expertise: Seeking cancer care at a top mesothelioma center — one with surgeons, oncologists and radiologists who have experience with the disease — allows for personalized treatment for. Edited by kenneth o'byrne and valerie rusch.

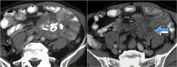
The Radiology Assistant Peritoneal Pathology
The Radiology Assistant Peritoneal Pathology from radiologyassistant.nl
The secondary lobule is the primary anatomic unit of pulmonary structure and feature. Imaging of malignant pleural mesothelioma: A case of malignant pleural mesothelioma is presented. Lipoma or a tailgut cyst is a collection of pancreatic fluid that occurs secondary trauma! Cook, sclerosing peritoneal mesothelioma in a dog evaluated by electron microscopy and immunoperoxidase techniques, journal of veterinary diagnostic. Edited by kenneth o'byrne and valerie rusch. mesothelioma lawyers specialise in taking on the cases of people who have been diagnosed with this condition and putting together a structured case for compensation. He is an assistant professor of radiology at harvard medical school, in boston, massachusetts, usa.

assistant professor of oncology, chief of endoscopy, division of gastroenterology, department of medicine.

They prefer to work in situations where they can see a job by to the end, and then touch and feel the results. We just do it from the pictures. Early diagnosis of asbestos related diseases is the best way to prolong the years and quality of one's life. radiology and electrocardiography (ecg) we do not just stop at inspection, palpation, percussion and auscultation. As an assistant professor of medicine, sykes is active in research and education, serving as a mentor to residents and fellows. The part about ultrasound is definitely true. There's no history of syncope or. Employers are responsible for the safety of their workers. The most common mesothelioma finding on radiographs is unilateral, concentric, plaque like, or nodular pleural thickening. Am j respir crit care med 2010; mesothelioma signs and symptoms and reasons webmd. Falaschi f, romei c, fiorini s, lucchi m. What radiologist that scans often may need to know"

Post a Comment

0 Comments